整形咨詢
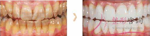
做四環素牙美白治療效果怎么樣?效果保持時間多久?
來源:明星美網
時間:2021-03-11 10:04:42
類型:原創
人氣:
一、做四環素牙美白治療方式及過程
一、治療方式
超聲波、漂染。
二、治療過程
①去除牙面著色。
②使用抗菌漱口水漱口,佩戴保護性眼罩。
③利用拋光器械對牙面進行拋光,并在拋光過程中不斷加入摩擦劑。
④拋光完成后,徹底沖洗牙和牙間區以去除摩擦劑顆粒。
二、做四環素牙美白治療效果怎么樣
1.牙齒形態完美,擁有理想而美白的牙齒。
2.牙齦炎、牙周炎,大多數慢性牙齦炎可以治愈。

三、做四環素牙美白效果保持時間多久
一至數年
四、做四環素牙美白治療次數
一次或多次
- 上一篇:做四環素牙美白的步驟及注意事項
- 下一篇:洗牙做完要多久時間?
為您推薦:
猜您喜歡:
- 乳房總是被吃會對身體有危害嗎_微
- 山東十大口腔醫院排行榜,讓你輕松找
- 廣州三甲醫院皮膚科排名|點陣激光
- 北京市打耳洞修復醫院哪家口碑好-
- 深圳皮膚科醫院哪家強,深圳皮膚科
- 北京口腔醫院哪個院區好,北京口腔
- 2023江蘇眼科醫院排名榜前十名!鹽城
- 中山牙科收費價目表曝光,價目表揭
- 做電動負壓吸脂瘦大腿需要多長時間
- 女生們做埋線雙眼皮手術醫治的價格
- 國產普諾明人工晶體怎么樣?是治療白
- 候黎莉上海九院*好的專家是誰(第九
- 2023年喀什地區英吉沙縣皮秒鐳射激
- 蚌埠激光美白整形一般需要價格多少
- 2023昆明激光祛斑正規醫院排名丨藝
- 鄭州哪個醫院看眼科比較好,鄭州眼
- 顴骨有斜紋是什么面相_顴骨一邊高
- 臨沂泉美整形醫院怎么樣-概況-資質
- 瓜子臉整形不適用人群有哪些?
- 劉海擋住眉毛運勢會不好嗎_眉毛顏
- 抽脂手術對比圖 信心秀出自身的A4
- 2023國內眼科醫院排名公布丨上海市
- 2023全國眼科十大排名醫院丨上海九
- 做瓜子臉整形價格
- 四川皮膚科好的醫院排名,四川皮膚
- 隆鼻后修復全過程圖 假體隆鼻比照
- 講講去鵬愛醫療美容醫院做M22光子
- 做洗眉費用
- 做處女膜修復怎么樣?好嗎?
- 沒有下巴的人面相分析_沒有下巴的
- 做洗眉效果如何
- 美膚專家:曹珂醫生簡介 激光祛斑案
- 愛貝芙去除法令紋效果真的好嗎
- 激光祛痘為何非常好
- 臉眶溝填充術都是按照什么什么順序
- 牙齒美容護膚統一推銷技巧
- 柳州市兒童牙齒正畸價格(價目)2023
- 腫眼泡是什么?怎樣治療腫眼泡?
- 玻尿酸隆鼻的危害 有木有呢?
- 福州私立醫院排名前十,哪家才是你的
- 西安看牙科去哪個醫院?排名靠前這五
- 呼和浩特京美整形的劉野醫生資料簡
- 做乳頭內陷矯正價格要多少
- 7900在北京做的硅膠隆鼻怎么樣?整體
- 人中窩加深內切好還是外切效果好(
- 北京大學第三醫院(北醫三院)眼科怎
- 做溶脂瘦肚子的流程是什么?恢復時間
- 免動手術的隆鼻方法——玻尿酸隆鼻
- 深圳光子嫩膚好的三甲醫院排名,深
- 做繡眉需要多長時間?全過程解析
- 做溶脂瘦手臂大概需要多少錢?
- 做下頜角截骨治療效果怎么樣?效果保
- 眉位不正修復手術安全嗎?
- 激光祛咖啡斑術必須條件都有幾種?
- 上下顎手術手術術后護理?
- 我在汕頭曙光整形醫院做了雙眼皮,來
- 警惕!消毒殺菌安全隱患大 美容美發
- 做玻尿酸豐蘋果肌怎么樣?好嗎?
- 盤點鄭州隆胸好的醫院:這幾家醫院口
- 歪鼻矯正醫療費用?歪鼻矯正價格
- 進口的膨體隆鼻費用多少錢
- 注入溶脂瘦臉針多長會看到效果
- 怎樣去除長期黑眼圈?黑眼圈怎么去
- 做水動力吸脂瘦腰需要多少錢?費用是
- 華西醫院整形科哪個醫生好?這篇教你
- 做雙環法矯正乳房下垂的流程是什么
- 做吸脂瘦腰的流程是什么?恢復時間要
- 做真皮固定矯正乳房下垂怎么樣?好嗎
- 去淮北天香醫療美容診所做雙眼皮怎
- 廣州荔灣區人民醫院整形美容中心口
- 喻深意醫生的個人資料簡介,還有口碑
- 全新上海九院整形價格表!想變美的你