整形咨詢
納米無痕和埋線的區別?
來源:明星美網
時間:2024-09-28 13:02:55
類型:原創
人氣:

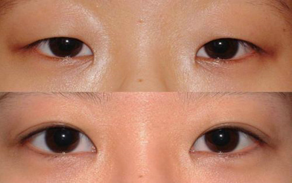
目前雙眼皮整形手術已經非常的成熟,而且開展的也是越來越多。這也給單眼皮小眼睛的人帶來了福音,一些女孩子們往往因為自己是單眼皮而感到自卑,失去自信,畢竟他們是非常在意自己的眼睛形態的。目前雙眼皮整形手術是極其的多,而且近幾年來,更為盛行風靡,因為廣大求美者們,對自己的容顏也是極其的在意了,她們也看到醫學整形美容手術的效果及其安全性。雙眼皮整形手術的方法非常多,目前就有納米無痕微創雙眼皮整形手術和埋線雙眼皮整形手術,也是讓人們有很多的選擇。可是納米無痕雙眼皮整形手術和埋線雙眼皮整形手術的區別又有哪些呢?
納米埋線和傳統埋線區別在于技術效果上,相比傳統埋線雙眼皮,操作更是精細微創,術后效果更無痕自然,宛如天生。其次,納米埋線和傳統埋線的區別在于埋線采用的縫線材料上,傳統的埋線雙眼皮采用的是不可吸收的縫線,而納米埋線則采用的是可被人體吸收的高分子縫線。納米埋線雙眼皮非常重視眼睛的設計,不僅能實現雙眼皮效果更能同時達到去脂肪、調整眼型等效果,一術多效。納米埋線雙眼皮創傷更小,術后無需拆線,恢復快,無創無痕。
- 上一篇:做完雙眼皮術后應該如何正確護理?
- 下一篇:全切雙眼皮早上起來腫如何修復
為您推薦:
猜您喜歡:
- 乳房總是被吃會對身體有危害嗎_微
- 山東十大口腔醫院排行榜,讓你輕松找
- 廣州三甲醫院皮膚科排名|點陣激光
- 北京市打耳洞修復醫院哪家口碑好-
- 深圳皮膚科醫院哪家強,深圳皮膚科
- 北京口腔醫院哪個院區好,北京口腔
- 2023江蘇眼科醫院排名榜前十名!鹽城
- 中山牙科收費價目表曝光,價目表揭
- 做電動負壓吸脂瘦大腿需要多長時間
- 女生們做埋線雙眼皮手術醫治的價格
- 國產普諾明人工晶體怎么樣?是治療白
- 候黎莉上海九院*好的專家是誰(第九
- 2023年喀什地區英吉沙縣皮秒鐳射激
- 蚌埠激光美白整形一般需要價格多少
- 2023昆明激光祛斑正規醫院排名丨藝
- 鄭州哪個醫院看眼科比較好,鄭州眼
- 顴骨有斜紋是什么面相_顴骨一邊高
- 臨沂泉美整形醫院怎么樣-概況-資質
- 瓜子臉整形不適用人群有哪些?
- 劉海擋住眉毛運勢會不好嗎_眉毛顏
- 抽脂手術對比圖 信心秀出自身的A4
- 2023國內眼科醫院排名公布丨上海市
- 2023全國眼科十大排名醫院丨上海九
- 做瓜子臉整形價格
- 四川皮膚科好的醫院排名,四川皮膚
- 隆鼻后修復全過程圖 假體隆鼻比照
- 講講去鵬愛醫療美容醫院做M22光子
- 做洗眉費用
- 沒有下巴的人面相分析_沒有下巴的
- 做處女膜修復怎么樣?好嗎?
- 做洗眉效果如何
- 美膚專家:曹珂醫生簡介 激光祛斑案
- 愛貝芙去除法令紋效果真的好嗎
- 激光祛痘為何非常好
- 臉眶溝填充術都是按照什么什么順序
- 牙齒美容護膚統一推銷技巧
- 柳州市兒童牙齒正畸價格(價目)2023
- 腫眼泡是什么?怎樣治療腫眼泡?
- 玻尿酸隆鼻的危害 有木有呢?
- 福州私立醫院排名前十,哪家才是你的
- 西安看牙科去哪個醫院?排名靠前這五
- 呼和浩特京美整形的劉野醫生資料簡
- 做乳頭內陷矯正價格要多少
- 7900在北京做的硅膠隆鼻怎么樣?整體
- 人中窩加深內切好還是外切效果好(
- 北京大學第三醫院(北醫三院)眼科怎
- 做溶脂瘦肚子的流程是什么?恢復時間
- 免動手術的隆鼻方法——玻尿酸隆鼻
- 深圳光子嫩膚好的三甲醫院排名,深
- 做繡眉需要多長時間?全過程解析
- 做溶脂瘦手臂大概需要多少錢?
- 做下頜角截骨治療效果怎么樣?效果保
- 眉位不正修復手術安全嗎?
- 激光祛咖啡斑術必須條件都有幾種?
- 上下顎手術手術術后護理?
- 我在汕頭曙光整形醫院做了雙眼皮,來
- 警惕!消毒殺菌安全隱患大 美容美發
- 做玻尿酸豐蘋果肌怎么樣?好嗎?
- 盤點鄭州隆胸好的醫院:這幾家醫院口
- 歪鼻矯正醫療費用?歪鼻矯正價格
- 進口的膨體隆鼻費用多少錢
- 注入溶脂瘦臉針多長會看到效果
- 怎樣去除長期黑眼圈?黑眼圈怎么去
- 做水動力吸脂瘦腰需要多少錢?費用是
- 華西醫院整形科哪個醫生好?這篇教你
- 做雙環法矯正乳房下垂的流程是什么
- 做吸脂瘦腰的流程是什么?恢復時間要
- 做真皮固定矯正乳房下垂怎么樣?好嗎
- 去淮北天香醫療美容診所做雙眼皮怎
- 廣州荔灣區人民醫院整形美容中心口
- 喻深意醫生的個人資料簡介,還有口碑
- 全新上海九院整形價格表!想變美的你