整形咨詢
開眼角手術優勢有哪些呢
來源:明星美網
時間:2024-08-13 13:21:12
類型:原創
人氣:

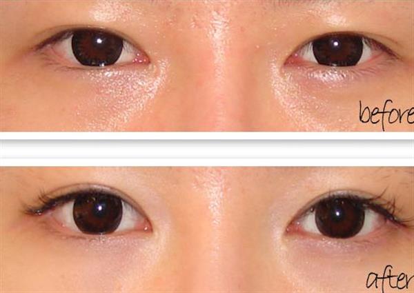
電眼美女是對很多眼睛大且明亮有神的女孩子較好的稱呼,可能臉部其他的部位一眼看起來不是很有印象,而眼睛如果是非常大的話令人記憶深刻。雖說老天對每個人都是公平的,但每個女孩子都希望自己是完美的,看到別人的大眼睛會非常羨慕,偶爾還會抱怨老天為什么不給自己雙眼皮。抱怨是沒有用的,如果真的想變美麗,只有通過自己的努力來完成才行,很多人都通過開眼角的手術來進行放大眼睛,目前開眼角手術已經非常的成熟,幫助了很多小眼睛的愛美女性走出自卑,擁有自信,那么到底開眼角手術優勢有哪些呢?
切除內/外眥贅皮也叫開眼角手術,一般使用于眼裂小,有內眥贅皮的眼睛,普遍的開內眼角的多,也叫眼角內眥整形術,即開內眥術,可將此贅生的上眼皮組織,經由精細的美容手術切縫消除,開眼角手術不會留下明顯的手術疤痕。利用開內眥術的方法,也就是開眼角。開眼角術視線可以更開闊,眼睛更有神更漂亮,通過開眼角手術,可以讓您的眼睛變大,而且更有神。微創手術,術中會采取麻醉,減輕愛美者的疼痛感。 不僅可以矯正內眥贅皮,還可解決眼角下垂、去除眼角紋等問題。
- 上一篇:開眼角手術會出現哪些適應癥
- 下一篇:開內眼角一定會留疤嗎
為您推薦:
猜您喜歡:
- 乳房總是被吃會對身體有危害嗎_微
- 山東十大口腔醫院排行榜,讓你輕松找
- 廣州三甲醫院皮膚科排名|點陣激光
- 北京市打耳洞修復醫院哪家口碑好-
- 深圳皮膚科醫院哪家強,深圳皮膚科
- 北京口腔醫院哪個院區好,北京口腔
- 2023江蘇眼科醫院排名榜前十名!鹽城
- 中山牙科收費價目表曝光,價目表揭
- 做電動負壓吸脂瘦大腿需要多長時間
- 女生們做埋線雙眼皮手術醫治的價格
- 國產普諾明人工晶體怎么樣?是治療白
- 候黎莉上海九院*好的專家是誰(第九
- 2023年喀什地區英吉沙縣皮秒鐳射激
- 蚌埠激光美白整形一般需要價格多少
- 2023昆明激光祛斑正規醫院排名丨藝
- 鄭州哪個醫院看眼科比較好,鄭州眼
- 顴骨有斜紋是什么面相_顴骨一邊高
- 臨沂泉美整形醫院怎么樣-概況-資質
- 瓜子臉整形不適用人群有哪些?
- 劉海擋住眉毛運勢會不好嗎_眉毛顏
- 抽脂手術對比圖 信心秀出自身的A4
- 2023國內眼科醫院排名公布丨上海市
- 2023全國眼科十大排名醫院丨上海九
- 做瓜子臉整形價格
- 四川皮膚科好的醫院排名,四川皮膚
- 隆鼻后修復全過程圖 假體隆鼻比照
- 講講去鵬愛醫療美容醫院做M22光子
- 做洗眉費用
- 沒有下巴的人面相分析_沒有下巴的
- 做處女膜修復怎么樣?好嗎?
- 做洗眉效果如何
- 美膚專家:曹珂醫生簡介 激光祛斑案
- 愛貝芙去除法令紋效果真的好嗎
- 激光祛痘為何非常好
- 臉眶溝填充術都是按照什么什么順序
- 牙齒美容護膚統一推銷技巧
- 柳州市兒童牙齒正畸價格(價目)2023
- 腫眼泡是什么?怎樣治療腫眼泡?
- 玻尿酸隆鼻的危害 有木有呢?
- 福州私立醫院排名前十,哪家才是你的
- 西安看牙科去哪個醫院?排名靠前這五
- 呼和浩特京美整形的劉野醫生資料簡
- 做乳頭內陷矯正價格要多少
- 7900在北京做的硅膠隆鼻怎么樣?整體
- 人中窩加深內切好還是外切效果好(
- 北京大學第三醫院(北醫三院)眼科怎
- 做溶脂瘦肚子的流程是什么?恢復時間
- 免動手術的隆鼻方法——玻尿酸隆鼻
- 深圳光子嫩膚好的三甲醫院排名,深
- 做繡眉需要多長時間?全過程解析
- 做溶脂瘦手臂大概需要多少錢?
- 做下頜角截骨治療效果怎么樣?效果保
- 眉位不正修復手術安全嗎?
- 激光祛咖啡斑術必須條件都有幾種?
- 上下顎手術手術術后護理?
- 我在汕頭曙光整形醫院做了雙眼皮,來
- 警惕!消毒殺菌安全隱患大 美容美發
- 做玻尿酸豐蘋果肌怎么樣?好嗎?
- 盤點鄭州隆胸好的醫院:這幾家醫院口
- 歪鼻矯正醫療費用?歪鼻矯正價格
- 進口的膨體隆鼻費用多少錢
- 注入溶脂瘦臉針多長會看到效果
- 怎樣去除長期黑眼圈?黑眼圈怎么去
- 做水動力吸脂瘦腰需要多少錢?費用是
- 華西醫院整形科哪個醫生好?這篇教你
- 做雙環法矯正乳房下垂的流程是什么
- 做吸脂瘦腰的流程是什么?恢復時間要
- 做真皮固定矯正乳房下垂怎么樣?好嗎
- 去淮北天香醫療美容診所做雙眼皮怎
- 廣州荔灣區人民醫院整形美容中心口
- 喻深意醫生的個人資料簡介,還有口碑
- 全新上海九院整形價格表!想變美的你